〒516-0037 三重県伊勢市岩渕2丁目4−37
false
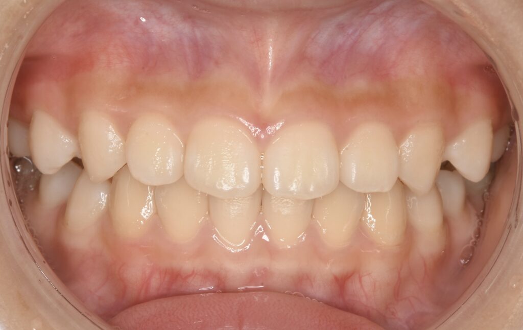
前歯の形と色を整え、自然な美しさを実現したケース
伊勢市在住60代 女性
伊勢市在住40代女性
伊勢市在住 70代男性
伊勢市在住30代女性
伊勢市在住 60代男性
伊勢市在住70代男性