永久歯のスペース不足に対する小児矯正治療(顎顔面矯正)
false
-
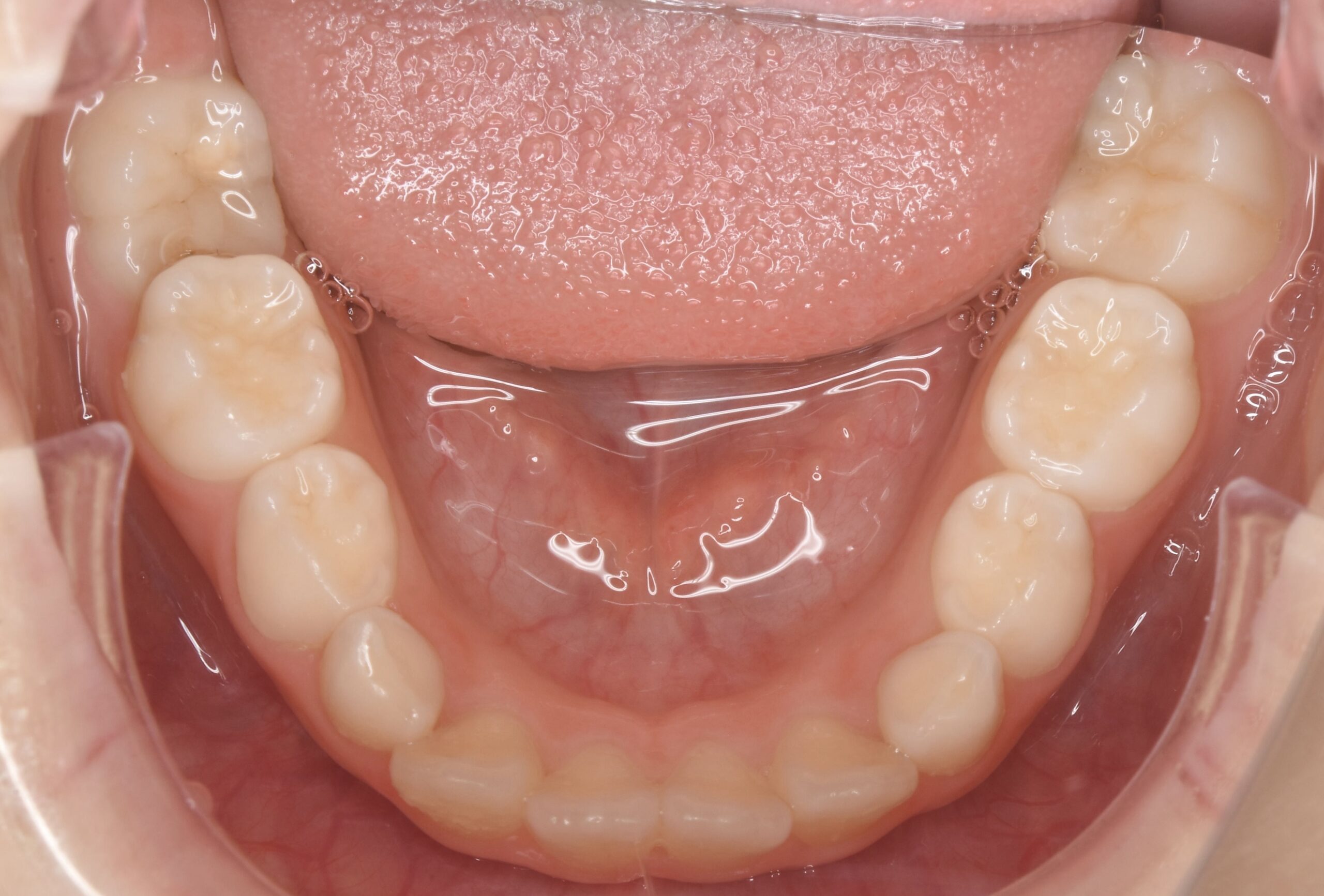
- BEFORE

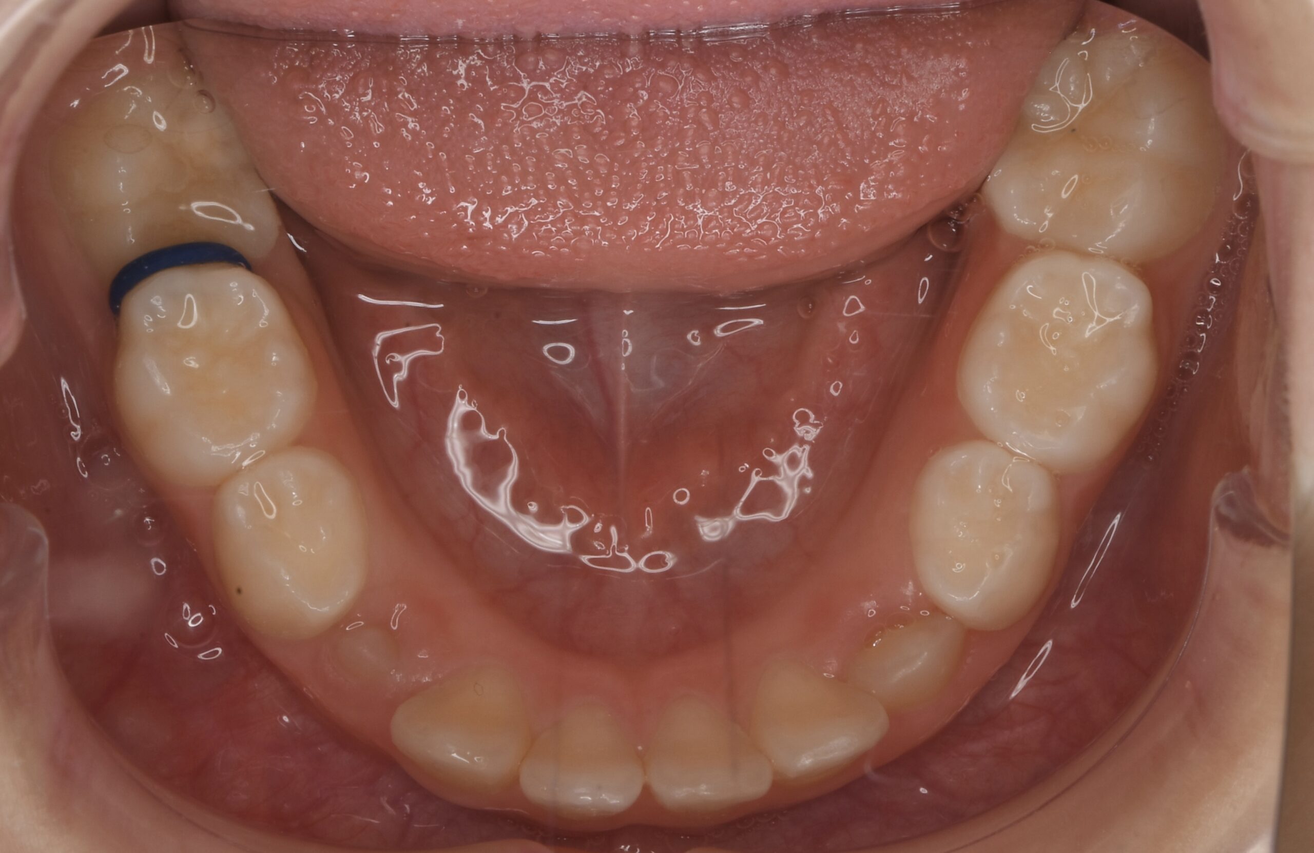
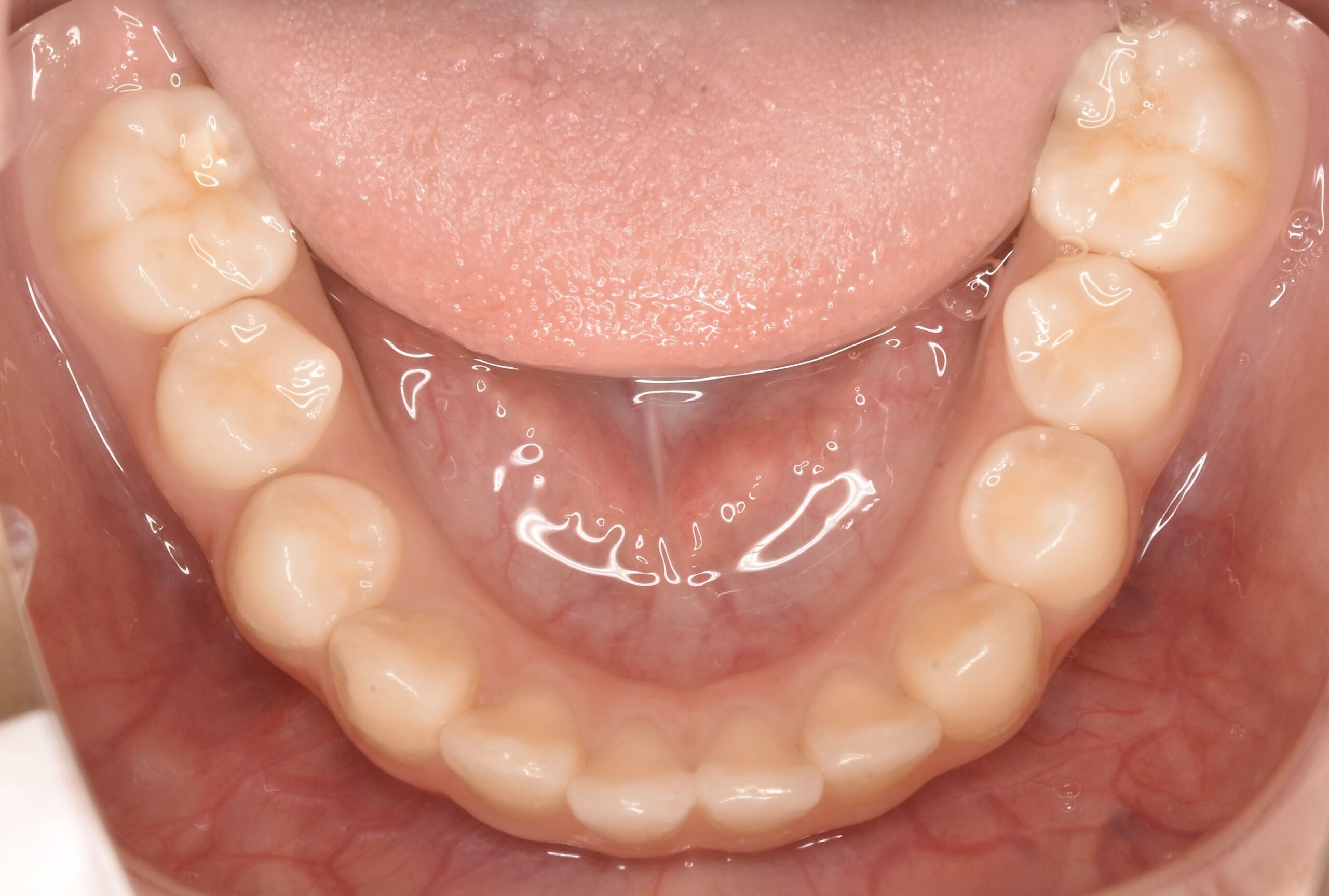
- AFTER

| 担当医 | 福井麻衣 false |
|---|---|
| 主訴 | 永久歯がきれいに並ぶスペースが足りない。 false |
| 診断名/主な症状 | false |
| 治療内容 | 永久歯がきれいに並ぶスペースが不足していたため、上あごの成長を促す顎顔面矯正装置(拡大装置)を使用しました。 現在、第2大臼歯の萌出経過を観察中です。 永久歯の生え変わりに合わせて歯並びや噛み合わせを確認しながら、必要に応じて継続的な管理を行っています。 false |
| 使用装置 | 顎顔面矯正装置(拡大装置) false |
| 抜歯部位 | false |
| 治療期間 | 約2年(経過観察期間を含む) false |
| 通院回数 | 月1回 false |
| 費用 | 小児矯正費用:495,000円 MFT:5,000円/1回 false |
主なリスク・副作用・注意点
-
- インプラント
-
- ・下歯槽神経を損傷、圧迫することで知覚異常や鈍麻の症状が出る場合があります。
- ・術部の違和感、痛み、腫れ、出血が生じる場合がありますが、症状の多くは一時的なもので、大抵数日中に治ります。
- ・妊娠中、妊娠の可能性のある方、授乳中の方はインプラント治療を行うことはできません。
- ・糖尿病の方、喫煙者の方は手術を受けられない可能性があります。
- ・あごの骨が足りない方は、骨の厚みを増やす治療が必要になる場合があります。
- ・術後は定期検診、メインテナンスの継続が必須となります。
-
- 矯正歯科治療
-
- ・矯正装置を装着または調整した直後は、違和感や痛みを感じることがありますが大抵数日で慣れます。
- ・矯正装置を装着することで口腔内の清掃がしにくくなり、虫歯や歯周病にかかるリスクが高くなるため、ご自宅でのセルフケアに加えて定期的な歯科医院でのクリーニングで衛生状態をしっかり管理する必要があります。
- ・症例によっては抜歯が必要となる場合があります。
- ・矯正装置を外した後は、後戻りを防ぐためにリテーナー(保定装置)を装着する必要があります。
-
- 審美修復治療・補綴治療
-
- ・前装冠など一部金属を含む補綴物は、金属アレルギーの原因となる可能性があります。
- ・セラミック(ジルコニア、セレックなど)は割れる恐れがあるため、食いしばりの強い奥歯には使用できません。
- ・高い強度のあるジルコニアは噛み合わせが馴染むまで多少時間がかかることがあります。
- ・ラミネートべニアやブリッジ治療では、健康な歯をわずかに削る必要があります。
-
- ホワイトニング
-
- ・ホワイトニング剤により知覚過敏が生じる場合があります。
- ・過酸化水素(ホワイトニングの主成分)を分解できない無カタラーゼ症(高原氏病)の方は治療できません。
- ・妊娠中、妊娠の可能性のある方、授乳中の方はホワイトニングを行うことはできません。
- ・虫歯や歯周病のある方、矯正治療中の方はそれぞれの治療を終えてからホワイトニングを行います。
- ・着色が原因ではない歯の変色(神経の無い歯など)はホワイトニングで白くすることはできません。
- ・ホワイトニングの効果は、生活習慣や元々の歯の質、状態で個人差があります。
-
- 根管治療
-
- ・根管治療終了後は術後性疼痛の症状が出る場合があります。
- ・ファイルが根管内で破折することがあります。
- ・予後不良の場合は、歯根端切除術または意図的再植術といった外科治療を行う場合があります。







