




なら
これらの悩みを改善し、悪い歯並びを予防・治療
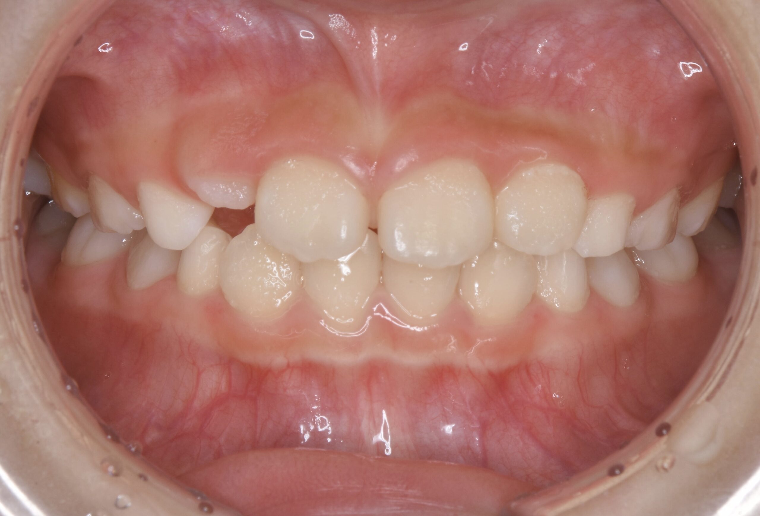
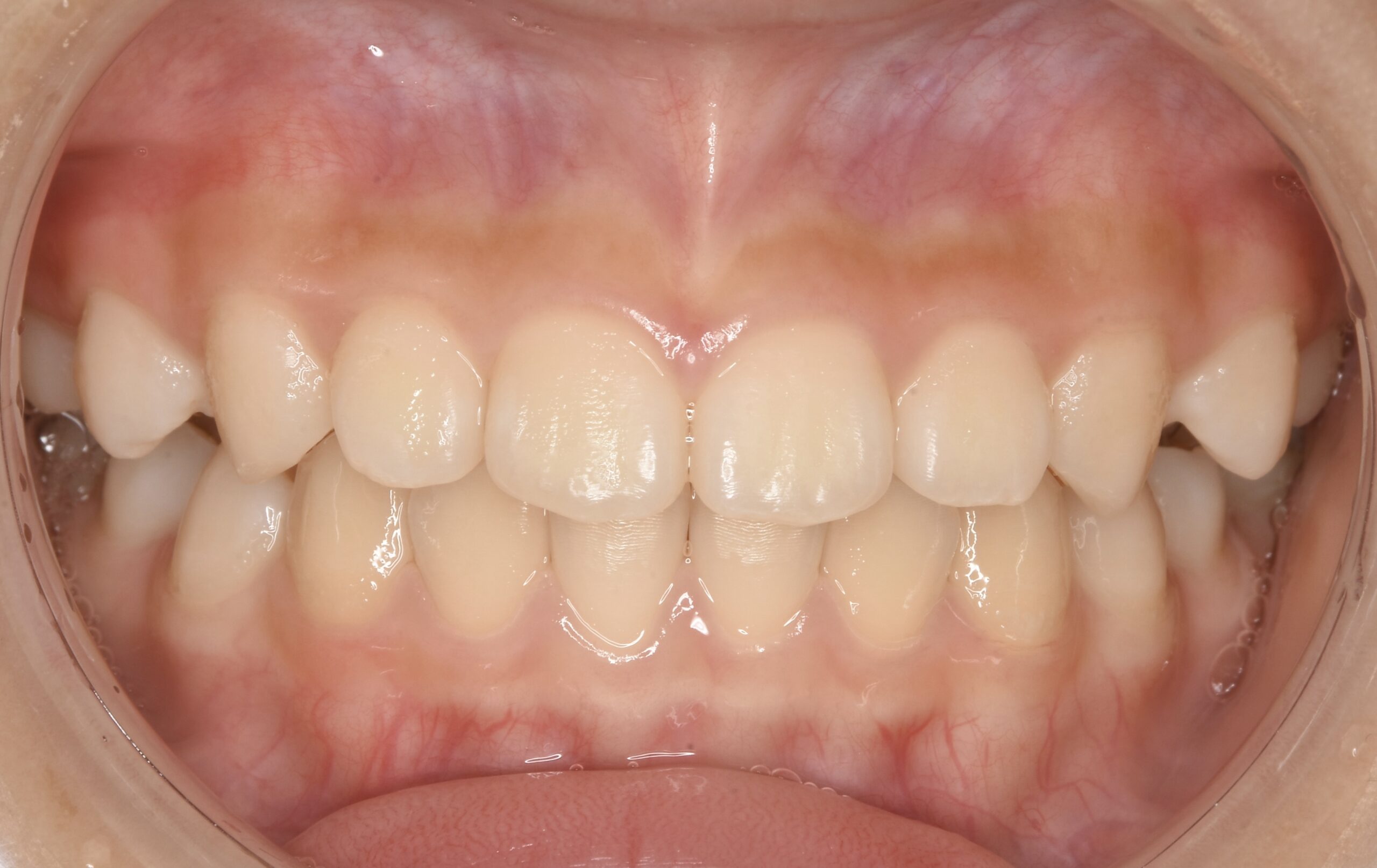
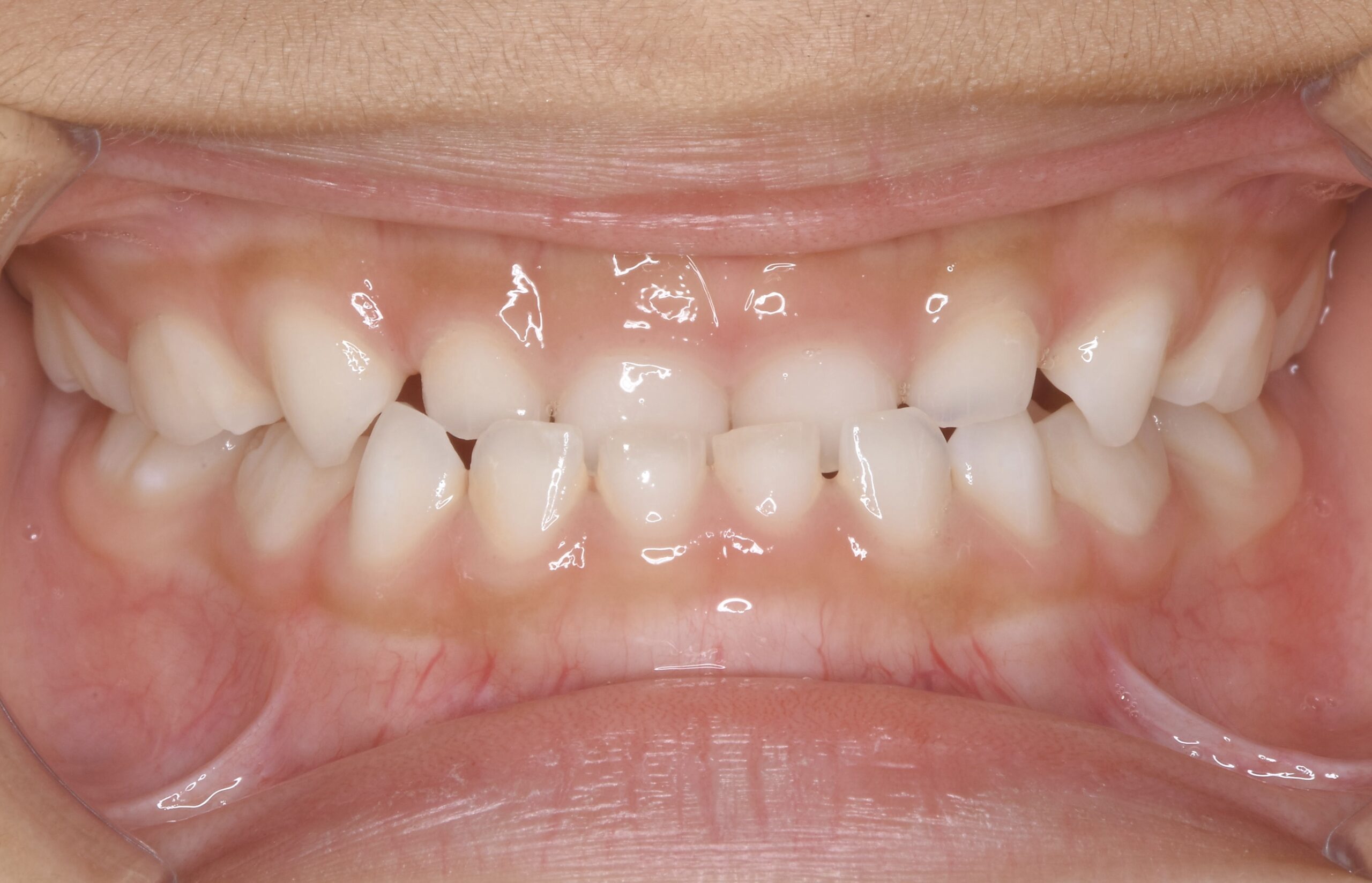
宇治山田駅近くの小児歯科・小児矯正歯科 宇治山田歯科医院ではマウスピースを活用した「マイオブレース矯正」によってお口まわりの筋肉バランスを整え、口呼吸や舌の悪い癖などの歯並びを悪くする根本原因から改善していきます。








悪い癖を取り除き
正しい成長を促せる
トレーニングで正しい舌の位置・飲み込み方、鼻呼吸などを習得でき、お口まわりの筋機能や顎の成長発育を正常に導くため、根本原因の悪癖改善で不正咬合はもちろん後戻りも防ぎ、顔立ちにも好影響です。

全身の健康・成長
にもプラスの影響
鼻呼吸習得などの正しい口腔機能によって、免疫力の向上、アレルギー/アトピー/喘息の改善、睡眠時無呼吸症候群の予防、顎の正常な発育といった全身の健康にも大きなメリットがあります。

つらい痛みや
抜歯リスクを軽減
顎の発育を利用して歯が正しく並ぶスペースをつくるため、歯を抜かない場合が多いです。
また、強い力で無理に歯を動かすこともないので、一般的な矯正治療と比べて痛みも少ないです。

取り外し可能で
虫歯リスクが少ない
マウスピースの装着時間は日中の1〜2時間・夜間就寝時と限られているため、学校の間は着用を避けていただけます。
食事・歯磨きも装置を外して行えるため口腔内を清潔に保ち、虫歯リスクを軽減できます。
*価格はすべて税込です


検査
所要時間 約1時間

お子さんの口腔状態をより詳しく把握するために、お顔やお口の中の写真撮影や歯型、噛み合わせの型、レントゲン検査などの精密検査を行います。

診断・カウンセリング
所要時間 約30分

精密検査後は詳しい口腔内の状態や歯並びを悪くする原因について分かりやすくご説明し、診断結果や初診時にヒアリングしたご要望等をもとに治療方針を決定していきます。
お子さんやご家族の方が治療内容にご納得いただいた上で治療を進められるように、治療内容や費用、期間などしっかりお伝えします。

治療開始
治療期間 平均2年間
月1回来院

お子さんの年齢やお口に適したマウスピースをお渡しし、日中1時間と夜間就寝中の装着と、医院の指導に沿って自宅でもトレーニングを行っていただきます。歯並びの経過チェックと医院でのトレーニングを受けるために、月1回程度ご来院ください。

矯正終了・予後観察
保定期間 平均2年間
3ヶ月〜半年に1回来院

歯並びが整ったあとも歯の移動を防いで、正しい口腔機能の使い方を安定させるために保定期間を設けます。口腔状態によって保定期間は一人ひとり異なりますが、平均2年が一般的です。
矯正終了後も歯の生え変わりや虫歯チェックのために、医院でのメインテナンス・定期検診を行いましょう。